Dentalcenter Bellacicca
Terapie
L'obiettivo del nostro studio è offrire terapie di qualità in ogni ambito dell’odontoiatria.
Implantologia protesica
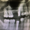
L’implantologia è la branca dell'odontoiatria che permette di sostituire i denti persi in modo fisso e duraturo: l'intervento, eseguito in anestesia locale, è rapido, indolore ed è caratterizzato da un decorso post-operatorio ottimo.
Grazie alle tecniche di rigenerazione ossea e all’avvento d’impianti di lunghezza ridotta ormai quasi tutti i pazienti possono sottoporsi a questo trattamento anche con scarsissimo osso residuo e senza limiti di età.
Il Dott. Alberto Bellacicca, ha conseguito un master di II livello presso l’Università degli studi di Torino in Implantologia Protesica,
Per raggiungere risultati d’eccellenza è necessario avvalersi di materiale di qualità: per questo utilizziamo impianti NOBEL BIOCARE: leader mondiale nell’implantologia tanto da garantire a vita i propri impianti.
Altri marchi utilizzati, a seconda dei casi, sono:
- Impianti Exacta WP e NP- Biaggini Medical Devices
- Impianti Lodi – ZEST (Biomet 3i) nei casi di Overdentures.
Implantologia computer guidata
L'implantologia computer guidata permette di riabilitare attraverso impianti in maniera precisa, senza eseguire lembi d'accesso e senza punti di sutura: di conseguenza NESSUN DOLORE E GONFIORE dopo l'intervento.
Il caso viene infatti stato studiato al computer attraverso l'esame TAC, la posizione degli impianti è decisa sul modello virtuale 3D del mascellare nel rispetto dell'anatomia e della successiva protesi: viene quindi prodotta una dima chirurgica che permette di inserire gli impianti senza aprire lembi.





